Científico

Abdome

Facebook
Twitter
LinkedIn
WhatsApp
Email

História clínica

  • Mulher de 40 anos
  • Hipertensão, tabagismo, hipotireoidismo
  • Dor abdominal difusa e intermitente, com duração de 3 meses
  • Colecistectomia laparoscópica: 7 anos atrás

Diagnósticos Diferenciais

  • Tumor mesenquimal: leiomioma
  • GIST duodenal
  • Gastrinoma duodenal (síndrome de Zollinger-Ellison)
  • Tumor carcinoide do duodeno

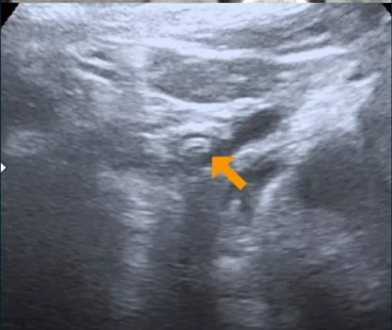
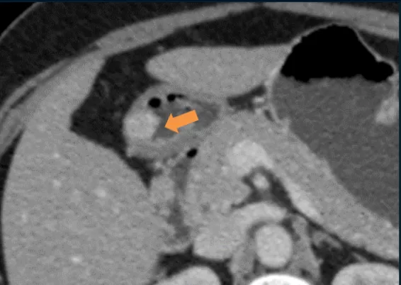
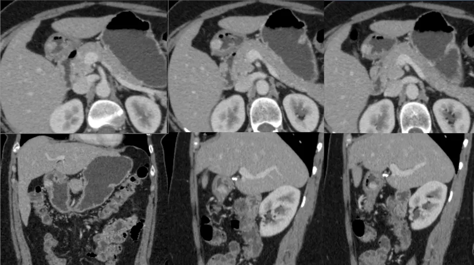
Cálculos biliares aderidos à parede duodenal

Autor: Dr. Juan Martin Moreira Salazar | Orientadora: Dra. Lucia Méndez Avellaneda Instituição: Centro Radiologico Mendez Collado de Tucumán (Argentina)

Colelitíase Livre na Cavidade Abdominal

  • Apresentação Clínica: Assintomática / Dor Abdominal Difusa
  • Incidência de Complicações na Colecistectomia Laparoscópica (1,6–5,3%)
  • Complicações da Colelitíase Livre na Cavidade Abdominal (0,3–0,4%) → Abscessos

-> Litíase aderida à parede duodenal: apenas alguns casos relatados na literatura

 

Referências

  1. Patel N, Jensen KK, Shaaban AM, Korngold E, Foster BR. Multimodal Imaging of Cholecystectomy Complications. Radiographics [Internet]. 2022;42(5):1303–19. Disponible en: http://dx.doi.org/10.1148/rg.210106
  2. Haisley KR, Hunter JG. Gallbladder and the Extrahepatic Biliary System. In: Brunicardi FC, Andersen DK, Billiar TR, et al, eds. Schwartz’s Principles of Surgery. 11th ed. New York, NY: McGraw-Hill Education, 2019.
  3. Desai NS, Khandelwal A, Virmani V, Kwatra NS, Ricci JA, Saboo SS.Imaging in laparoscopic cholecystectomy–what a radiologist needs to know.. Eur J Radiol. 2014 Jun;83(6):867-79.
  4. Tonolini M, Ierardi AM, Patella F, Carrafiello G. Early Cross-Sectional Imaging After Open and Laparoscopic Cholecystectomy: An Introduction for Radiologists. Insights Imaging [Internet]. 2018 [citado el 2 de septiembre de 2024];9(6):925–41. Disponible en: http://dx.doi.org/10.1007/s13244-018-0663-9