Clinical History
- Female.
- 23 years old.
- From Aparecida de Goiânia – GO.
- No history of previous illnesses.
- The patient was admitted with a mass on the left hemicranium, which has progressively grown over the past 4 years.
- In recent months, the mass has been accompanied by increasing pain and headaches.
- Previous investigations with laboratory tests did not reveal any abnormalities.
Images
Physical Examination
- Large, expansile mass on the left hemiface causing distortion of facial structures, including the ipsilateral eye and ear. The lesion shows two necrotic regions: one anteriorly and the other laterally.
- Fibroelastic consistency with focal areas of induration, tender on palpation, with anterior discharge of sanguineous fluid upon compression.
Diagnostic Imaging
Computed tomography
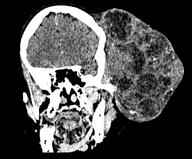
Contrast-enhanced axial CT
- Soft tissue density mass, involving the superficial layers of the left hemiface, apparently originating from the cutaneous and subcutaneous tissues.
- The mass is composed of nodular material with heterogeneous attenuation. The nodules have hyperdense contours and predominantly hypodense internal contents with heterogeneous enhancement.
- Irregularity in the cranial skull with thinning and remodeling.
- There was no intracranial extension.
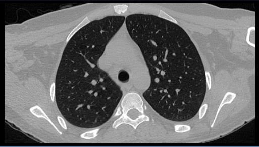
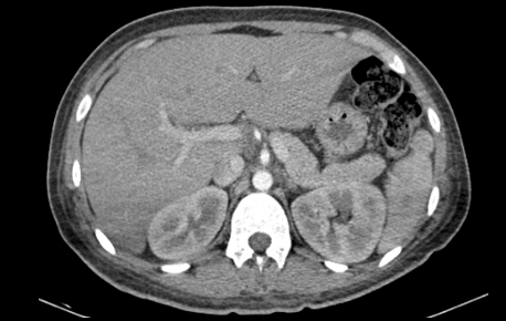
- Diagnostic imaging of the chest and abdomen revealed no additional abnormalities.
Magnetic resonance imaging
Differential Diagnosis
- Peripheral Nerve Sheath Tumor – Benign
- Peripheral Nerve Sheath Tumor – Malignant
- Dermatofibrosarcoma Protuberans
- Others
Case Outcome
Aggressive surgical resection was performed
- General macroscopic appearance of the tumor after surgical resection.
- Weighing 2500g and measurie 25.0 x 12.0 x 10.0 cm.

- Hypoechoic nodules with debris and echogenic foci.
- Surrounded by an isoechoic stroma.

- Gross anatomy exhibits a multinodular appearance (blue), nodules with a firm-elastic consistency (green) reddish/hemorrhagic spots (red).
- Areas with a friable, trabeculated consistency and cystic cavities, areas of tumor necrosis (black).
Histopathological and immunohistochemical studies





























