CASO CLÍNICO
Sexo feminino, 51 anos
Queixa: paciente compareceu ao pronto-socorro com dor torácica central opressiva e dispneia (classe funcional IV) com duração de 12 horas, sem outros sintomas associados.
Histórico Médico: hipertensão arterial, em tratamento | fumante (30 maços/ano).
Exame físico: pressão arterial: 205/100 mmHg | frequência cardíaca: 115 bpm.
Diagnóstico presuntivo: emergência hipertensiva.
Tomografia Computadorizada de Tórax Sem Contraste
Janela Pulmonar

Janela mediastinal

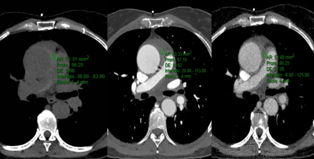
AngioTomografia de Tórax


