Científico

Vias Urinárias

Facebook
Twitter
LinkedIn
WhatsApp
Email

História clínica

  • Mulher de 40 anos de idade
  • Diagnosticada com um sarcoma pélvico na infância e submetida à cirurgia (há mais de 25 anos – SIC)
  • Queixa: “hematúria há alguns dias”
  • Nega comorbidades

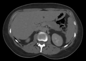
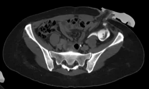
Fase nefrográfica

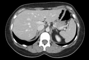
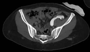
Fase excretora

Imagens-chave

Modelo de relatório

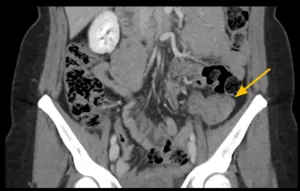
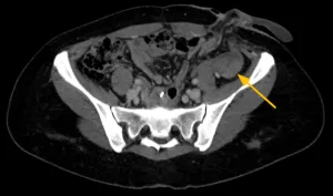
Derivação urinária em alça delgada na fossa ilíaca à esquerda. Houve boa distensão da alça de derivação, porém nota-se falha de enchimento de aspecto polipoide na fase excretora medindo cerca de 2,2 x 1,0 cm. Sugere-se prosseguir investigação.

Até agora…

  • Mulher de 40 anos de idade com um Bricker ileal há mais de 25 anos por conta de um sarcoma pélvico
  • Hematúria há alguns dias
  • Lesão polipoide na alça ileal da derivação urinária

Estudo endoscópico

Adenoma

Adenoma em Bricker ileal

Dr. Daniel L. Cardoso – Radiologista pelo Hospital Sírio-Libanês. Fellow de Radiologia Abdominal no Hospital Sírio-Libanês. Preceptor da Residência Médica do Hospital Sírio-Libanês Orientador: Dr. Regis Otaviano França Bezerra  
  Cistectomia -> Derivação Urinária Incontinência – Bricker ileal Continência – Ortotópica* ou cutânea *: orto (orthós) significa “exato”, então ortotópico significa algo que está no lugar anatômico exato / habitual

Bricker ileal

Procedimento mais utilizado (1950) Técnica com menor complexidade cirúrgica 15-20 cm do íleo (15-20 cm da valvula ileocecal) Morbidade: 18-66% Complicações: precoces x tardias
  • Fístulas, abscessos, obstrução de alça, necrose do conduto
  • Hérniaparaestomal, estenose (estoma e/ou ureter), litíase
 

Lesão em Alça de Derivação Urinária

Malignidades na mucosa intestinal após derivação urinária: 0,18-15% Estudo 1 81 casos
  • 45 (56%): ampliação vesical
  • 12 (15%): Bricker ileal
Período de latência: 
  • Neoplasia benigna: 22 anos (12-22)
  • Neoplasia maligna: 16 anos (4-30)
Estudo 2 Multicêntrico
  • 2 / 8.637 (0,02%)
  • Ambos adenocarcinomas
Período de latência: 
  • Neoplasia maligna: 11 anos (2-20)

Take-home Messages

  • Conhecimento das técnicas cirúrgicas e da anatomia (pré e pós) é fundamental para identificar possíveis complicações.
  • Pacientes devem ser acompanhados ad eternum, pois as complicações podem surgir mesmo vários anos após a cirurgia.
  • A carcinogênese de pacientes submetidos à derivação urinária ainda não está bem estabelecida.
 

Referências

  1. Thomas DJ, Goble NM, Gillatt DA, Hammonds JC, Smith PJ. Histological and environmental changes in longstanding ileal conduits. Journal of the Royal Society of Medicine. 1990 Sep;83(9):557-8.
  2. Austen M, Kälble T. Secondary malignancies in different forms of urinary diversion using isolated gut. The Journal of urology. 2004 Sep 1;172(3):831-8.
  3. Kälble T, Hofmann I, Riedmiller H, Vergho D. Tumor growth in urinary diversion: a multicenter analysis. European urology. 2011 Nov 1;60(5):1081-6.
  4. Cornell C, Khani F, Osunkoya AO, Matoso A, Miyamoto H, Gordetsky JB, Salaria SN, Giannico GA. Secondary malignancy after urologic reconstruction procedures: a multi-institutional case series. Human pathology. 2022 Jan 1;119:69-78.
  5. Collins K, Yocum BP, Idrees MT, Saeed O. Carcinoma arising in ileal conduit or orthotopic ileal neobladder reconstruction: A 20‐year single institute experience. Histopathology. 2024 Jul;85(1):182-9.
  6. Moomjian LN, Carucci LR, Guruli G, Klausner AP. Follow the stream: imaging of urinary diversions. RadioGraphics. 2016 May;36(3):688-709.
  7. Boehm D, Rosenfeld J, Ji E, Lee Z. A review of bowel-based urinary diversions for the colorectal surgeon. InSeminars in Colon and Rectal Surgery 2023 Jun 1 (Vol. 34, No. 2, p. 100960). WB Saunders.