Dados clínicos
- Mulher de 40 anos de idade
- Diagnosticada com um sarcoma pélvico na infância e submetida à cirurgia (há mais de 25 anos – SIC)
- Queixa: “hematúria há alguns dias”
- Nega comorbidades
Imagens
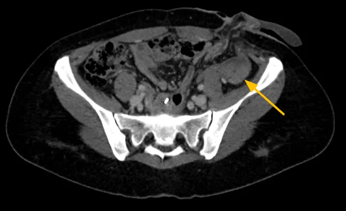
Fase nefrográfica
Fase excretora
Imagens-chave
Modelo de relatório
Derivação urinária em alça delgada na fossa ilíaca à esquerda. Houve boa distensão da alça de derivação, porém nota-se falha de enchimento de aspecto polipoide na fase excretora medindo cerca de 2,2 x 1,0 cm. Sugere-se prosseguir investigação.
Até agora…
- Mulher de 40 anos de idade com um Bricker ileal há mais de 25 anos por conta de um sarcoma pélvico
- Hematúria há alguns dias
- Lesão polipoide na alça ileal da derivação urinária
Estudo endoscópico
Adenoma














